From thorough checkups and advanced dental implants to urgent emergency dentistry , our goal is to give you a beautiful, healthy smile while also putting you at ease so you can feel completely relaxed at each appointment. Our dentists in Grand Island combine excellent care with state-of-the-art technology and 5-star service at our nearby dental office, ensuring that you’ll enjoy your experience with us just as much as the results.
Steven Stec, DDS
Jacob Stines, DDS
CJ Stec, DDS
For Dr. Steven, Dr. CJ, Dr. Jacob, and Dr. Jane Wachter, dentistry isn't about taking care of teeth, it's about taking care of people. This is why they put in the effort to truly get to know each nearby patient, allowing them to better tailor their care to someone's unique needs and goals. Even though they each have years of experience treating patients of all ages, they continue to invest in new technology and continuing education so they are able to deliver even better dentistry – from lifelike dentures to calming sedation dentistry and beautiful veneers – in Grand Island for over 40+ years.
“Best practice in Grand Island. A staff that is knowledgeable and truly cares. You can trust them to do what’s best for your personal situation. I’d recommend Stec to all those I hold dear to my heart.”
“We’ve been going to Stec for 2 years now and have had no complaints. All the support staff and doctors are so friendly. Would highly recommend to anyone in GI!”
“Dr. Stines and his staff are so, so nice. Everyone is very professional, and Dr. Stines is the best. I highly recommend Dr. Stines and Stec Cosmetic & Family Dentistry.”
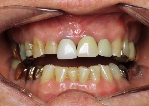
Before
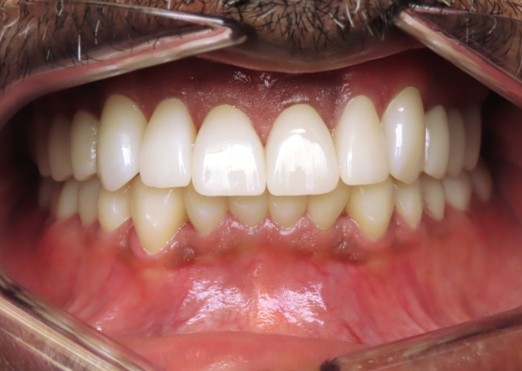
After
Before
After
Before
After
Before
After
Before
After
Before
After
Before
After
Before
After
Before
After
Before
After
Before
After
Before
After

Our goal is to make your visit feel like you are not visiting a dental office, but more like visiting a friend.
Tour Our Dental OfficePlease know that our dental team near Wood River is here to help with every facet of your care, including the cost. That’s why we offer our patients in Grand Island multiple financial solutions, including dental insurance. In addition to being in-network with Blue Cross and Delta Dental Premier, we have experience working with countless other popular providers, which means we can help you understand (and maximize!) your benefits. If you are uninsured, then you can make the price of your treatment more affordable with flexible financing!
Whether you’re coming to visit us for cosmetic dentistry , like Invisalign , or because you’re looking for effective sleep apnea treatment , there’s good news: we’re conveniently located at 2009 W Faidley Avenue in Grand Island, NE. Close to CHI Health St. Francis Hospital, our dental practice is between Golden Age Village Park and Broadwell Park. You can click on the map for detailed instructions on how to find us from your location, or you can give us a call!
Learning more about dentistry and dental care in general can go a long way toward helping you make the best decisions for your smile. We invite you to check out the following FAQs for informative answers to a number of questions that tend to be on the minds of many dental patients.
Whether you need a dentist for routine checkups and cleanings or more specific services such as dentures in Grand Island, choosing the right practice means carefully considering what it is you’re looking for. Do you need a dentist who takes your insurance plan? Should they be located within a certain distance of your home? Take the time to clearly define your needs so that you can specifically search for a dental practice that is able to fulfill them.
If there’s a practice that you want to learn more about, visit their website. You’ll often find important information about their approach to dental care as well as the credentials of the dentists. Also, you can check reviews on Google, Facebook, and Yelp to see what past patients have to say about their experience at the practice.
If you’re in need of emergency dental care, we will strive to make arrangements to see you on the same day whenever possible. As soon as a dental emergency occurs, we encourage you to call our office to let our team know what happened. Not only will we set up a visit for you, but we’ll also give you tips for managing the situation at home. Once you arrive for your appointment, we’ll prioritize stopping your pain and creating a plan to restore your oral health.
The cost of your dental checkup and cleaning depends on the answer to a number of questions, such as:
Rest assured that our team will always be transparent when it comes to the cost of your care, and we can work with you to make sure that your routine checkups and cleanings are as budget-friendly as possible.
It may be tempting to simply skip your dental visits in an effort to save money. However, this can lead to serious oral health issues that are costly to treat. Thus, the best option for your smile and your wallet is to take whatever steps you can to make dental care more affordable. This can mean taking advantage of your dental insurance plan or applying for flexible financing from CareCredit.
©2021 Stec & Stines Cosmetic & Family Dentistry | Sitemap | Privacy Policy | Site designed and maintained by